Invisalign
Looking for Invisalign in Torrance, CA? At Haru Dental, we provide advanced clear aligner treatment designed to straighten your teeth discreetly and comfortably.
Clear Aligners, Clear Results - Top Invisalign Treatment InTorrance, CA
Invisalign offers a gentle, nearly invisible way to straighten your smile. Custom-fit and worn 20–22 hours a day, the aligners are swapped out every week or two as your teeth shift. It’s a simple, discreet option with regular check-ins to keep you on track.
The Benefits of Invisalign Clear Aligners
- Nearly invisible appearance
- Enhanced confidence and convenience
- Greater comfort and reduced gum irritation
- Removability for daily meals and oral hygiene
- Less risk of bacteria buildup
- Potentially shorter treatment duration
What to Expect from Your Invisalign Treatment
Your Invisalign journey starts with a personal consultation. If you’re a good fit, we’ll take a 3D scan using our iTero scanner and design a custom treatment plan just for you.
Once you get your aligners, we’ll make sure they fit well and show you how to use them. Unlike braces, aligners follow a clear path to shift your teeth. You’ll check in with us regularly, wear them 20–22 hours a day, and most treatments take 6 to 18 months.
Who Is a Good Candidate for Invisalign in Torrance?
Invisalign is ideal for teens and adults with mild to moderate orthodontic concerns. You may be a great candidate if you have:
- Crowded teeth
- Gaps between teeth
- Overbite, underbite, or crossbite
- Relapse after previous braces
During your consultation at our Torrance office, we use advanced 3D digital scanning to determine whether Invisalign is the right solution for your smile. Even if you’ve been told you’re not a candidate before, modern Invisalign technology can treat more cases than ever.
Our Expert Invisalign Services
Invisalign for Kids
Invisalign First is designed for growing kids, helping guide jaw and arch development while making space for incoming teeth. It gently addresses issues like crowding, gaps, and narrow arches, using clear, comfortable aligners tailored specifically for children. Visit our Torrance office to discover how our Invisalign First service can support your child’s smile with expert care and the best treatment for their needs.
Invisalign for Teens
Invisalign for Teens provides a comfortable, nearly invisible alternative to traditional metal braces, making it ideal for active teens. It simplifies oral hygiene and easily fits into busy lifestyles filled with sports and activities. Book a free consultation or visit our Torrance office to experience the best Invisalign service for teens and start your journey to a confident, straight smile.


Invisalign for Adults
Invisalign is a discreet, convenient solution for adults who want straighter teeth without the hassle or embarrassment of traditional braces. It fits easily into your lifestyle, letting you maintain confidence and routine while achieving a healthier smile. We are proud to provide the perfect Invisalign solution for adults in Torrance, with expert care tailored to your unique needs.
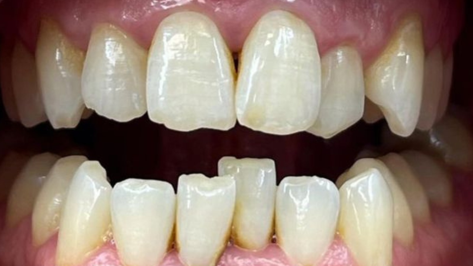
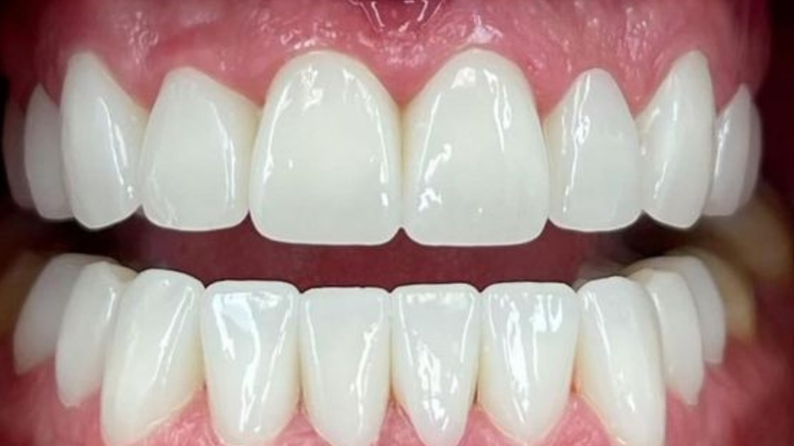
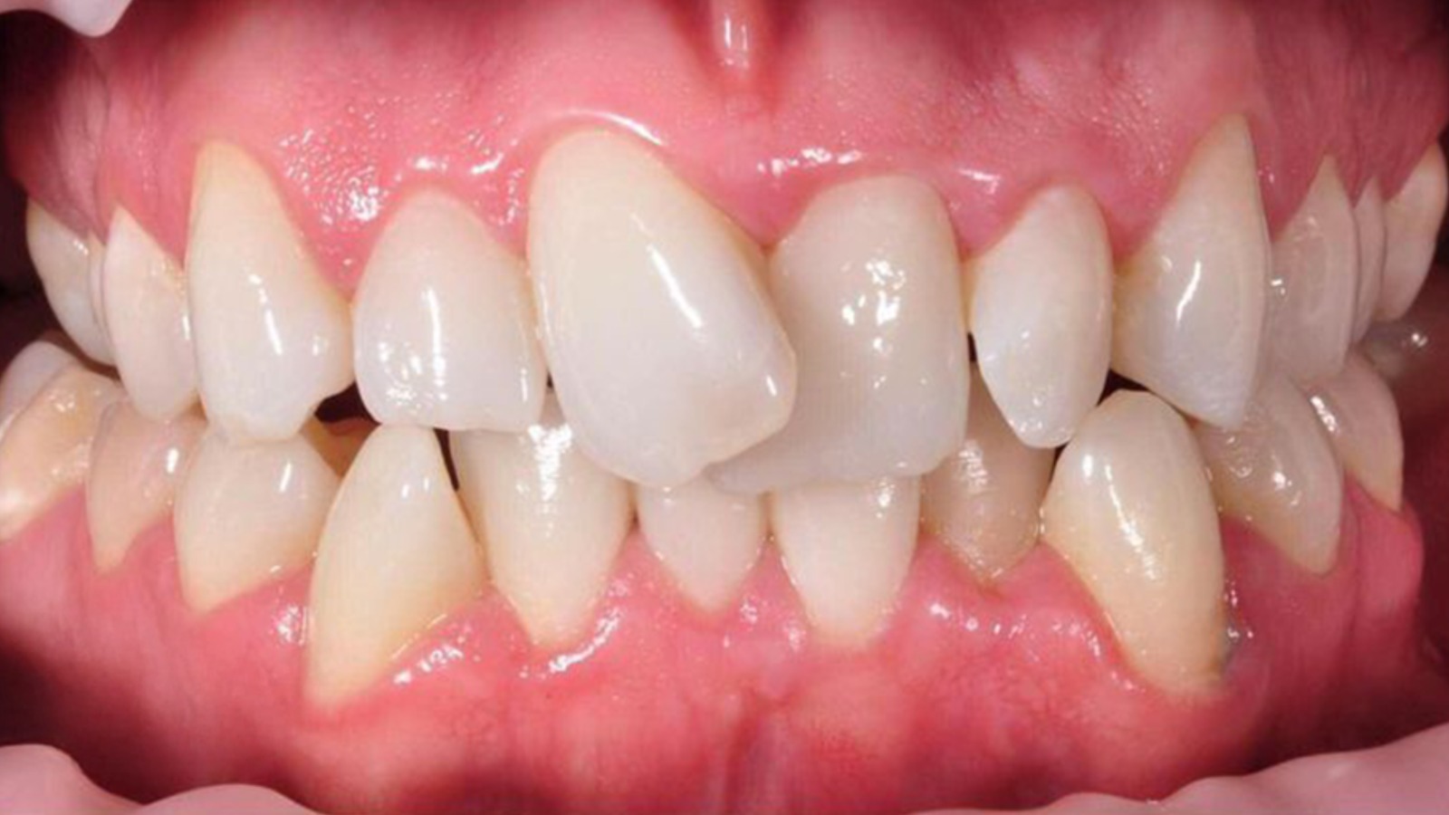
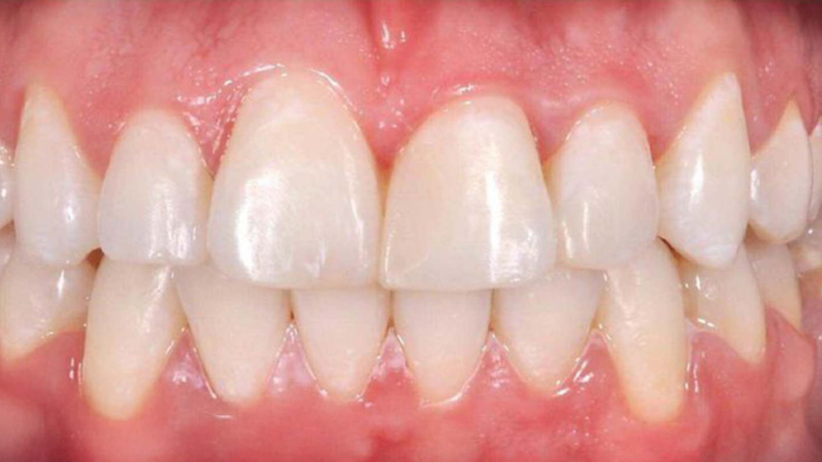
See the Difference: Stunning Invisalign Transformations!












How Much Does Invisalign Cost in Torrance, CA?
The cost of Invisalign in Torrance varies depending on the complexity of your case and treatment duration. On average, Invisalign treatment is comparable in cost to traditional braces.


At Haru Dental, we offer:
- Flexible monthly payment options
- Insurance assistance
- Transparent pricing with no hidden fees
During your consultation, we’ll provide a personalized treatment plan and a clear breakdown of your investment so you can make an informed decision with confidence.