Skip to content
(310) 362-2875
info@harudental.com
1454 Marcelina Ave. Torrance, CA 90501
Facebook
Instagram
Google-plus-g
About Us
Meet The Doctors
Dr. Jongwook Lee, DDS, MS
Dr. Daniel Lee, DDS
Dr. Dawn Sul, DDS
Dr. Minju David Yi
Dr. Yoo Kyeom Huh, DMD, MSD
Office Tour
Why Choose Us
Our Services
Preventive Care
Kids Dentistry
Deep Teeth Cleaning
Dental Sealants
Oral Hygiene
Periodontal Maintenance
Tooth Extractions
Teeth Cleaning & Dental Checkups
Restorative Dentistry
All On X Full Mouth Dental Implants
Amalgam Fillings
Dental Bridges
Dental Crowns
Dental Fillings
Dental Implants
Non-Surgical Root Canal
TMJ Treatment
Dentures
Denture Relines
Exams & Maintenance
Immediate Dentures
Implant Retained Dentures
Partial Dentures
Rebase & Repairs
Soft Liners
Cosmetic Dentistry
Botox Treatment
CEREC
Dental Bonding
E4D Dentist®
Invisalign®
Inlays & Onlays
Orthodontics Treatment
Porcelain Veneers
Teeth Whitening
Sedation Dentistry
Preventive Care
Deep Teeth Cleaning
Dental Sealants
Oral Hygiene
Periodontal Maintenance
Tooth Extractions
Teeth Cleaning & Dental Checkups
Dental Anxiety and Phobia
Emergency Dentist
Restorative Dentistry
All-on-X Full Mouth Dental Implants
Amalgam Fillings
Dental Fillings
Dental Implants
Dental Bridges
Dental Crowns
Non-Surgical Root Canal
TMJ Treatment
Sedation Dentistry
Dentures
Denture Relines
Exams & Maintenance
Immediate Dentures
Implant Retained Dentures
Partial Dentures
Rebase & Repairs
Soft Liners
Cosmetic Dentistry
Botox Treatment
CEREC
Dental Bonding
E4D Dentist®
Invisalign
Inlays & Onlays
Orthodontic Treatment
Porcelain Veneers
Teeth Whitening
Patient Information
Patient Stories
Before & Afters
First Visit
New Patients
Dental Insurance and Payment Options
CareCredit
Retainer Instructions
Patient Testimonials
Contact Us
X
Schedule an Appointment
About Us
Meet The Doctors
Dr. Jongwook Lee, DDS, MS
Dr. Daniel Lee, DDS
Dr. Dawn Sul, DDS
Dr. Minju David Yi
Dr. Yoo Kyeom Huh, DMD, MSD
Office Tour
Why Choose Us
Our Services
Preventive Care
Kids Dentistry
Deep Teeth Cleaning
Dental Sealants
Oral Hygiene
Periodontal Maintenance
Tooth Extractions
Teeth Cleaning & Dental Checkups
Restorative Dentistry
All On X Full Mouth Dental Implants
Amalgam Fillings
Dental Bridges
Dental Crowns
Dental Fillings
Dental Implants
Non-Surgical Root Canal
TMJ Treatment
Dentures
Denture Relines
Exams & Maintenance
Immediate Dentures
Implant Retained Dentures
Partial Dentures
Rebase & Repairs
Soft Liners
Cosmetic Dentistry
Botox Treatment
CEREC
Dental Bonding
E4D Dentist®
Invisalign®
Inlays & Onlays
Orthodontics Treatment
Porcelain Veneers
Teeth Whitening
Sedation Dentistry
Patient Information
Patient Stories
Before & Afters
First Visit
New Patients
Dental Insurance and Payment Options
CareCredit
Retainer Instructions
Patient Testimonials
Contact Us
Schedule an Appointment
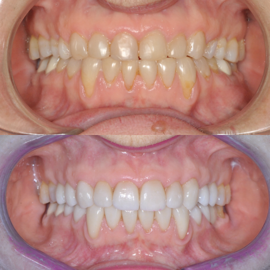
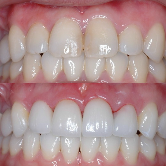
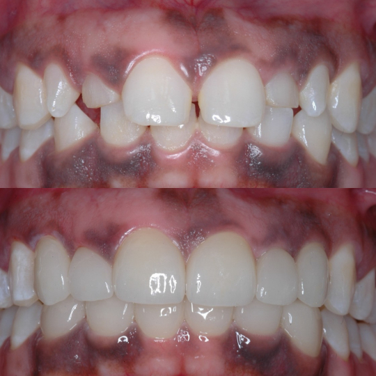
Before & After Results You Can Trust
Scroll to Top